SHOULDER ARTHRITIS (OSTEOARTHRITIS)
WHAT IS ARTHRITIS?
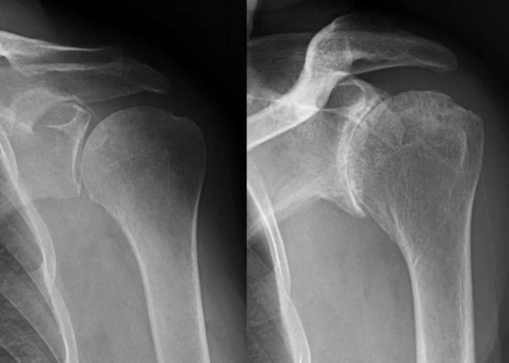
Arthritis (osteoarthritis) of a joint is a condition where the cartilage in the joint is damaged. In the beginning, there may be only slight cartilage loss but as the condition progresses, all the cartilage in a joint can be lost leading to a "bone on bone" situation. To understand arthritis, we need to know the characteristics of cartilage.
WHAT IS CARTILAGE?
Cartilage is a flexible and strong connective tissue that is found in many places throughout the human body (i.e. ear, nose, throat). At the joint, cartilage is the specialized covering of the bone ends as they meet to become the joint. It provides a very low friction environment so that our joints can glide and it also has a cushion effect to keep the bones on opposite sides of a joint from contacting.
WHY DOES ARTHRITIS HURT?
As the cartilage continues to degrade and disappear in the arthritis condition, the joint suffers increasing amount of inflammation because of the cartilage damage and the irregular joint surface. This inflammation causes pain and swelling.
WHAT ARE OTHER SYMPTOMS OF ARTHRITIS?
Besides pain and swelling, patients with arthritis of a joint can experience:
catching or locking of a joint
a ratcheting sensation when moving the joint
loss of motion of a joint
giving way (instability) of a joint
HOW IS THE DIAGNOSIS OF ARTHRITIS MADE?
A thorough visit with a physician and basic x-rays can usually make the diagnosis clear. In the early stages of the condition, cartilage damage may only be seen on MRI (so called chondromalacia). It is important to evaluate for other causes of joint pain that can mimic osteoarthritis (i.e. gout, infection, meniscus tear, ligament tear).
WHAT TREATMENTS ARE AVAILABLE FOR ARTHRITIS?
NON-SURGICAL
Anti-flammatory medication
physical therapy
bracing of the joint
injection of the joint (typically cortisone)
SURGICAL
arthroscopic management (minimally invasive) can sometimes help with symptoms. Removing loose fragments of cartilage and repairing other damage (like labral tears) can help if the arthritic changes are early.
shoulder replacement can be the most predictable solution for patients with moderate to advanced disease.
BIOLOGIC INJECTIONS
More recently, there has been a tremendous amount of focus on other types of treatment that do not involve surgery including biologics (i.e. platelet rich plasma injection, stem cell injection). Please see our PRP page or Stem Cell page for more details. We will attempt to stay as up to date as possible on these methods of treatment to give our patients the most honest and level assessment on these treatments.
To date, there is NO injection than can "cure" arthritis to the best of our knowledge. In order to "cure" arthritis, an injection would have to be able to convince the body to regrow cartilage in just the right places in the joint and in just the right shape and with just the right thickness and be able to integrate into the remaining original cartilage...pretty daunting task.
Despite the limitation of these injections, there are certainly some potential positive effects that can benefit many patients.
